Феморо-ацетабулярный импиджмент (Femoroacetabular Impingement, FAI)
Феморо-ацетабулярный импиджмент (Femoroacetabular Impingement, FAI) — это состояние тазобедренного сустава, при котором нарушена форма одного или обоих костных компонентов: головки/шеики бедренной кости и/или вертлужной впадины. Эти изменения приводят к тому, что при движениях — особенно сгибании, приведении и внутренней ротации бедра — наступает патологическое «соударение», что травмирует суставную губу (labrum) и/или хрящ.
Ключевые моменты:
Ключевые моменты:
- Не все изменения формы сразу вызывают симптомы. У многих людей есть признаки CAM или Pincer по МРТ/рентгену, но они не болят. Только когда есть сочетание морфологической аномалии + механического конфликта + боли/ограничения — ставят диагноз ФАИ.
- Обычно заболевание проявляется в молодом или среднем возрасте, особенно у активных людей, спортсменов.
Типы ФАИ

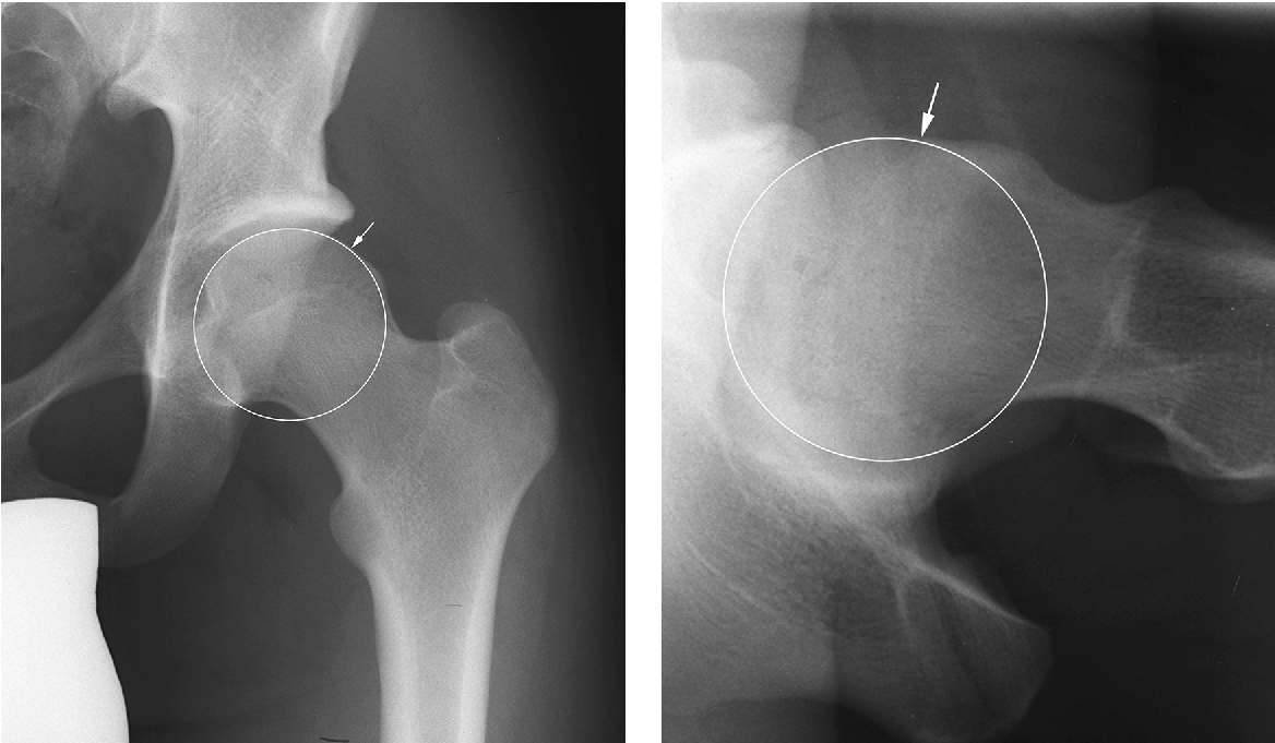
1.CAM-тип
Нарост (бугорок) или утолщение на бедренной шейке/основания головки, что делает её не идеально сферической. При сгибании/вращении бедра это утолщение «входит» в вертлужную впадину и травмирует край впадины или губу.
Нарост (бугорок) или утолщение на бедренной шейке/основания головки, что делает её не идеально сферической. При сгибании/вращении бедра это утолщение «входит» в вертлужную впадину и травмирует край впадины или губу.

2.Pincer-тип
Избыточное нависание вертлужной впадины над головкой бедра, либо увеличение площади покрытия, либо ретроверсия/другие аномалии впадины. Из-за этого край впадины или губа ущемляются между головкой/шеей бедра и краем впадины.
Избыточное нависание вертлужной впадины над головкой бедра, либо увеличение площади покрытия, либо ретроверсия/другие аномалии впадины. Из-за этого край впадины или губа ущемляются между головкой/шеей бедра и краем впадины.

3.Смешанный (Mixed) тип
Комбинация признаков как CAM, так и Pincer. На практике он встречается часто.
Комбинация признаков как CAM, так и Pincer. На практике он встречается часто.
Симптомы
Типичные проявления ФАИ могут быть:
- Боль в паховой области, внутренней стороны бедра; иногда над большим вертелом, иногда отдаёт к колену или в ягодицу.
- Боль усиливается при движениях: сгибание бедра, внутренней ротации, при занятиях спортом, длительном сидении, при подъёме по лестнице.
- Хруст, щёлканье, ощущение зацепления или препятствия во время движений сустава.
- Ограничение подвижности: может быть трудно полностью согнуть, привести или повернуть бедро.
Диагностика
Для постановки диагноза обычно используются:
Сбор анамнеза и физикальный осмотр
Визуализационные методы
Важно понять, есть ли уже значительное повреждение хряща или начальные признаки артроза, поскольку это влияет на прогноз операции.
Сбор анамнеза и физикальный осмотр
- Оценка симптомов: когда, как возникают боли, что провоцирует.
- Специальные тесты: импинджмент-тест (flexion-adduction-internal rotation), тесты FABER и др.
Визуализационные методы
- Рентгенография: выявление морфологии, утолщения, изменения формы.
- МРТ / МР-артрография: оценка состояния хряща, губы, мягких тканей, наличие сопутствующих повреждений.
- КТ может быть полезна для оценки костной морфологии, особенно при сложных вариантах.
Важно понять, есть ли уже значительное повреждение хряща или начальные признаки артроза, поскольку это влияет на прогноз операции.
Когда операция — артроскопическая декомпрессия — показана

Артроскопическая декомпрессия — это малоинвазивная хирургическая процедура, цель которой — убрать/скорректировать костные выступы, нависающие края, освободить пространство движения, устранить повреждения губы, очистить сустав от воспалённых или повреждённых тканей.
Как проводится
Подготовка перед операцией
Анестезия и позиция
Артроскопия
Декомпрессия
Завершение операции и контроль
Операция может длиться от 1 до нескольких часов, в зависимости от сложности (объём коррекции, наличие сопутствующих повреждений).
Как проводится
Подготовка перед операцией
- Полное обследование: анализы крови, иногда ЭКГ, оценка состояния здоровья.
- Определение анатомического рисунка (по снимкам, МРТ/КТ), планирование объёма коррекции.
- Обсуждение с пациентом рисков, ожиданий, восстановления.
Анестезия и позиция
- Обычно операция под общей анестезией или комбинированной.
- Пациент лежит на операционном столе, возможно с применением тракции (растяжения) для обеспечения доступа в сустав.
Артроскопия
- Делается 2-3 небольших прокола (портала), через них вводят артроскоп (камера) и инструменты.
- Оцениваются внутрисуставные структуры: хрящ, губа, наличие свободных фрагментов.
Декомпрессия
- Удаление или подточка выступов CAM на шейке бедра.
- Исправление Pincer: резекция нависающего края впадины, корректировка формы.
- При необходимости — ремонт (шов) губы, чистка хряща (debridement), удаление свободных тел, лечение любых сопутствующих повреждений.
Завершение операции и контроль
- Проверка, что движения в суставе свободны, нет трения.
- Закрытие порталов, наложение повязки.
Операция может длиться от 1 до нескольких часов, в зависимости от сложности (объём коррекции, наличие сопутствующих повреждений).
Что делать сразу после операции
- Наблюдение в клинике (несколько часов до дня), контроль боли, общего состояния.
- Обезболивание.
- Ограничение нагрузки: частично или полностью, в зависимости от объёма вмешательства. Часто первые дни — минимальная нагрузка, с помощью костыльков или ходунков.
- Шина или специальные перевязки, если требуется.
Реабилитация (After-care)
Реабилитация — очень важный компонент, от него сильно зависит результат.
Фазы реабилитации
Ранняя фаза (первые дни-недели)
Средняя фаза (до ~6-12 недель после операции)
Поздняя фаза (3-6 месяцев и дальше)
Фазы реабилитации
Ранняя фаза (первые дни-недели)
- Контроль боли и отёка.
- Поддержание подвижности, дыхательные упражнения.
- Пассивные или постепенно активные движения, избегая тех, которые могут вызвать соударение (например, глубокие сгибания + внутренняя ротация), по указаниям врача.
- Поддержка мышц кора, бедра, ягодиц, осанка.
Средняя фаза (до ~6-12 недель после операции)
- Постепенное увеличение амплитуда движений.
- Укрепление мышц: ягодичные, приводящие, отводящие, внешние ротаторы бедра, подвздошно-поясничные и др.
- Работа над нормализацией походки, балансом, координацией.
Поздняя фаза (3-6 месяцев и дальше)
- Переход к спортивным нагрузкам, если нужно.
- Специфическая тренировка в зависимости от профиля — бег, спорт, движения, которые раньше вызывали боль.
- Поддерживающие упражнения, профилактика рецидивов.
Возможности, риски, прогноз
Польза операции
- Снижение боли.
- Повышение подвижности и функциональности бедра.
- Уменьшение риска дальнейшего повреждения губы и хряща (при условии, что операция сделана вовремя).
- Возможность вернуться к активной жизни, спорту.
Ограничения и риски
- Если уже есть значительный артроз, влияние операции может быть менее выраженным.
- Возможны осложнения: инфекции, кровотечения, повреждения нервов, сосудов; несоответствие формы после коррекции; продолжительная боль; иногда нестабильность сустава.
- Реабилитация может занимать несколько месяцев, результат зависит от усилий пациента.
Прогноз
Чем раньше человек обратится с симптомами, раньше поставят диагноз и проведут корректное лечение — тем лучше шансы на хороший результат. Если же патология запущена, с хрящевыми дегенерациями, результат может быть частичным.
Что можно сделать самостоятельно до операции, или как отложить её
- Попробовать консервативное лечение: изменение образа жизни (ограничение провоцирующих движений), физиотерапия, упражнения.
- Контроль веса, поскольку лишняя нагрузка может усугублять симптоматику.
- Избегать длительного сидения, высоких сгибаний, сильных вращений бедра внутрь, особенно под нагрузкой.
Часто задаваемые вопросы
Больно ли после операции?
Будет дискомфорт, боль — как после любого вмешательства. Но она контролируется через обезболивание, и первая неделя-две — самые сложные.
Сколько времени госпитализация и когда возвращение домой?
Часто артроскопия позволяет пациенту идти домой в тот же или на следующий день, при условии стабильного состояния. (В Центре Хирургия одного дня операция проводится утром, домой вечером.) onedaysurgery.com
Когда можно ходить, становиться на ногу, садиться за руль, заниматься спортом?
Что, если после операции остались боли?
Возможны причины: не полностью устранён выступ, остаточное раздражение, слабость мышц, дополнительные повреждения. В этом случае может потребоваться доработка, физическая терапия, анализ причин.
Будет дискомфорт, боль — как после любого вмешательства. Но она контролируется через обезболивание, и первая неделя-две — самые сложные.
Сколько времени госпитализация и когда возвращение домой?
Часто артроскопия позволяет пациенту идти домой в тот же или на следующий день, при условии стабильного состояния. (В Центре Хирургия одного дня операция проводится утром, домой вечером.) onedaysurgery.com
Когда можно ходить, становиться на ногу, садиться за руль, заниматься спортом?
- Ходить — как разрешит хирург; часто частичная нагрузка с костылями первые недели.
- Полная нагрузка — через несколько недель, по мере заживления.
- За руль — когда уверенно можете держать ногу и не принимаете сильные обезболивающие; зависит от законов, страховки, консультации врача.
- Спорт — через 3-6 месяцев, иногда дольше, в зависимости от вида спорта и объёма вмешательства.
Что, если после операции остались боли?
Возможны причины: не полностью устранён выступ, остаточное раздражение, слабость мышц, дополнительные повреждения. В этом случае может потребоваться доработка, физическая терапия, анализ причин.
Заключение
Феморо-ацетабулярный импиджмент — заболевание, которое может существенно снижать качество жизни, особенно если игнорировать симптомы. Артроскопическая декомпрессия при правильных показаниях и хорошей реабилитации может дать значительное облегчение, вернуть подвижность и уменьшить риск дальнейших проблем, включая артроз.